Footfall of the Shod & Barefoot horse
By R.C.Richardson RSS - 19.04.2012
I believe a shod hoof should land differently than a barefoot hoof.
I must state that the following is my view based on work I have done with shod and barefoot horses.
In over 35 years of shoeing, including 22 years of referral work, one of the main topics of conversation amongst Vets, Farriers and Barefoot Trimmers has been the footfall of the equine digit, and the effect that it has on the connecting tissue and conformation of the horse.
This paper is not about Barefoot versus Shoeing.
It is about two distinct theories, one relating to the shod hoof and the other to barefoot management.
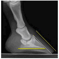
Over the past 22 years the horses that have been referred to me have presented angle differentials of P3 anywhere from: forward rotation resulting in sole penetration, (on left) to reverse rotation which would manifest itself as prolapsed and collapsed heels. (on right)


To avoid pain both cases above use the opposite extremes of footfall, from only wanting to stand on the heel to wanting to land toe first.
I have no intention of talking exact angles as I don’t believe it is possible to predict what a foot’s angle should be and then mistakenly try to achieve it at all costs. There are without doubt varying angle numbers that do seem to reoccur in sound examples of all breeds but I don’t think they are of any help when trying to treat a foot in trouble.
Observations of the shod horse:
There have been many debates on the loading of the shod foot and what happens at the point of impact, however, there is not much doubt that the body weight and propulsion should go from heel to toe, ending in the brake-over point where the foot prepares to leave the ground.
If the shod foot impacts the ground heel first it sets off an unfortunate chain of events.
- It causes damage to the tissue in the caudal third as it takes the major impact of the landing.
- It causes untold strain to the dorsal area of the coronary band as it tries to absorb the secondary impact.
- It creates strain on the internal attachment system mainly the laminae.
- It affects the vascular process in such a way that the production of tissue is impaired.
Likewise if the shod foot lands toe first then it also sets up a similar chain of events, albeit less so due to the rigidity of the dorsal section because of P3 giving form and stability, but in the long term effects the caudal third more.
When a shod hoof lands level, concussion, weight and propulsion then proceed over the shoe while preparing to lift the hoof off the ground with the assistance of a correct brake-over point on the shoe.
Examining the shoe of the flat landing foot you will still see evidence of the weight bearing at the heels by the wear on the underside (nearest the foot) of the shoe.
This is also due to the expansion and contraction of the heels, (worn away much more with a heel or toe landing foot.)
I have witnessed the palmer surface of P3 on a level landing, sound, shod foot to be at many different angles, the wall on the other hand will be trying to, stay parallel with P3 in the dorsal section, thus the heel length will vary in order to try and land level.
When, as a shoeing farrier I observed a foot for the first time I would pay allot of attention to the heels and frog, as in the shod horse these are often weaker due to the restriction on their movement created by a steel shoe, thus they often need to be supported more.
If I observed the heel to be: too long, too short, collapsed, contracted, under- run, shot-away, or weak, then I would know that the foot has not been supported correctly.
I would then try to create a level footfall, making sure I relieved the heels of the excess pressure sometimes by fitting a short or long tongued hart bar shoe.
It is obvious that a solid steel shoe should hit the ground as level as possible, to avoid a second reaction of jarring. A well shod horse with a level footfall and correct brake-over is far less likely to have caudal problems than a foot that either lands heel or toe first.
Observations of the unshod horse:
For 13 years now I have only been treating my referrals using barefoot trimming methods along with dietary and conditioning advice.
Since working with barefoot horses I have had to approach my treatment of the same foot problems in a different way.
The barefoot horse that is fed correctly and in the right conditions will choose, when sound and balanced, to land heel first and rotate its weight and propulsion through the foot ending in a natural brake-over that it creates itself.
As the foot is landing heel first the production and consistency of the frog and heel tissue is paramount to the soundness of the animal. The heel wall will not be as long as a shod foot as it is not trying to avoid a heel landing.
Shod or barefoot, it is most important that both systems are managed in a way that is right for the horse, and not for aesthetical or historical reasons.
Both footfalls are correct for the job intended.
As someone who has had the benefit of working on both shod and barefoot horses, I have come to realise they require two completely different types of foot management, and they should not be in competition with each other.
If we accept that both the shod and unshod horse benefit from this theory, then we can move on in the Barefoot versus Shod hoof debate.
If we recognise the need for both methods to be taught well then when teaching, farriers’ and barefoot trimmers their professions, there would be a better understanding of what they are both trying to achieve.The recognition that they are both starting from a different point in theory, will lead to respect being given to both parties.
Although I may be an exponent of the barefoot system, I also realise that if an owner wishes to have their horse shod, I will do everything I can to assist in making sure the shoeing is performed in the best way possible to benefit the horse.
Maybe it is time to stop saying either technique is wrong, and accept the fact that both can be right!
